top of page
Chronic Lymphocytic Leukemia
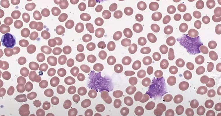
This patient presented with lymphocytosis. Peripheral smear examination presents mature yet functionally incompetent lymphocytes and smudge cells.



bottom of page
This patient presented with lymphocytosis. Peripheral smear examination presents mature yet functionally incompetent lymphocytes and smudge cells.


